O nás
Náš tým tvoří nejzkušenější lékaři s praxí v oboru více než 25 let, sehraný tým biomedicínských inženýrů a zdravotních sester.
Obnovení normálního sinusového rytmu zabrání zhoršování zdravotního stavu a podpoří kvalitu života.


Jak pracujeme
Katetrizační katetrové ablaci se věnujeme už od roku 1993, kdy tato metoda v České republice začínala. V této době přitom ještě nebyly k dispozici 3D mapovací systémy, které dnes při zákrocích významně pomáhají. Zkušenosti našeho týmu zahrnují řešení i těch nejsložitějších případů u českých i zahraničních pacientů a rozvoj výuky a ablačních výkonů na různých pracovištích
v České republice.
V Centru kardiovaskulární péče jsme nyní soustředili veškeré naše úsilí, znalosti a zkušenosti na to, abychom efektivně pomáhali pacientům, které trápí arytmie.

Náš tým odborníků

Doc. MUDr. Martin Fiala, Ph.D.

MUDr. František Lehar, Ph.D.

Mgr.Veronika Bulková, Ph.D.
MUDr. Jiří Jež
Doc. MUDr. Miroslav Novák
MUDr. Magda Bartlová
MUDr.Jiří Lang
MUDr.Radka Bartovičová
MUDr.Lenka Kubková
MUDr.Petr Lokaj
MUDr.Eva Kubátová
MUDr.Iva Tomášková
MUDr.Jarmila Uberhuberová
MUDr.Veronika Šuhajová
MUDr.Gabriela Matejová
MUDr.Laura Ivaničová
Prostředí
Víme, že v nemocnici málokdo pobývá rád v roli pacienta. Dobrá zpráva je, že v případě zákroků na našem pracovišti jsou pacienti zpátky doma během pár dní.Samotný zákrok probíhá na katetrizačním sále vybaveném moderními technologiemi. Bezprostředně po výkonu pacienti stráví krátký čas na dvoulůžkovém pokoji intenzivní péče, a poté v pohodlí jednolůžkového pokoje. Snažíme se, abyste se u nás cítili příjemně, bezpečně a v soukromí. Každý pokoj je u nás „nadstandardní“ – vybaven extrapolohovatelnou postelí, televizí, sociálním zařízením a také wifi připojením k internetu.
Návštěvy budete moci přijímat prakticky kdykoliv a budete-li si pro svůj komfort přát například nastandardní stravu, zařídíme i to.

Přístroje
V Centru kardiovaskulární péče máme ty nejmodernější přístroje.
Medicína jde rychle kupředu, proto neustále sledujeme, co je nového a osvědčené a bezpečné postupy a přístroje brzy používáme v praxi.
Podívejte se, které přístroje nám pomáhají pečovat o vaše srdce a zbavit vás obtíží. Jejich detailní fungování vám rádi vysvětlíme při osobním rozhovoru.
3D mapovací systém
Pro detailní diagnostiku srdečních arytmií a anatomii srdce používáme 3D mapovací systémy jak pro využití radiofrekvenční energie, tak i energii pulzního pole. Prostorové mapování nám umožňuje vizualizovat prostup elektrického vzruchu dutinou srdeční při konkrétní arytmii nebo zobrazovat jizevnaté oblasti myokardu.
Pomocí tohoto nástroje lze přesně určit mechanismus arytmie a následně pak s jistotou rozhodnout o způsobu provedení efektivní terapie.
Další výhodou 3D mapovacího systému je, že nahrazuje funkci klasického rentgenu a pacienti i personál se tak vyhnou práci s radiačním zářením.

Mapa bipolárního napětí na stěně levé komory. Červeně zbarvená oblast s velmi nízkou amplitudou značí jizvu, kterou využívá komorová reentry tachykardie

Aktivační mapa reentry arytmie (vlevo) a fokální arytmie (vpravo)
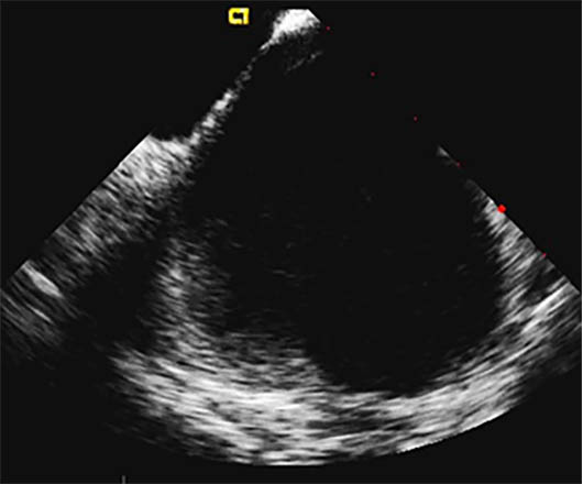
Intrakardiální ultrazvukový systém
Při zákroku na srdci používáme intrakardiální ultrazvukovou sondu, která umožňuje nepřetržitě sledovat, co se děje během výkonu v dutině srdeční. Intrakardiální ultrazvuk také dokáže zobrazit případné anatomické abnormality, které nelze odhalit tradičním ultrazvukovým vyšetřením.

Naše smluvní pojišťovny:
- Všeobecná zdravotní pojišťovna České republiky
- Vojenská zdravotní pojišťovna České republiky
- Česká průmyslová zdravotní pojišťovna
- Oborová zdravotní pojišťovna zaměstnanců bank, pojišťoven a stavebnictví
- Zaměstnanecká pojišťovna Škoda
- Zdravotní pojišťovna ministerstva vnitra České republiky
- Revírní bratrská pokladna, zdravotní pojišťovna





